Skip Navigation
Skip to contents

J Musculoskelet Trauma : Journal of Musculoskeletal Trauma

OPEN ACCESS

Articles

Page Path
HOME > J Musculoskelet Trauma > Volume 26(1); 2013 > Article
Case Report
Costoclavicular Syndrome Secondary to Nonunion of a Displaced Fracture of the Clavicle, Misdiagnosed as a Simple Muscle Strain: A Case Report
Ho-Seung Jeon, M.D., Haeng-Kee Noh, M.D., Seo-Goo Kang, M.D., Jong-Min Kim, M.D., Seung-Ju Jeon, M.D.
Journal of the Korean Fracture Society 2013;26(1):60-64.
DOI: https://doi.org/10.12671/jkfs.2013.26.1.60
Published online: January 17, 2013

Department of Orthopaedic Surgery, Sung-Ae Hospital, Seoul, Korea.

*Department of Orthopaedic Surgery, Gwangmyeong Sung-Ae Hospital, Gwangmyeong, Korea.

Address reprint requests to: Seung-Ju Jeon, M.D. Department of Orthopaedic Surgery, Sung-Ae Hospital, 22, Yeouidaebang-ro 53-gil, Yeongdeungpo-gu, Seoul 150-960, Korea. Tel: 82-2-840-7232, Fax: 82-2-840-7755, jsj232@naver.com
• Received: June 16, 2012   • Revised: September 22, 2012   • Accepted: November 23, 2012

Copyright © 2013 The Korean Fracture Society

  • 484 Views
  • 0 Download
prev next
  • Thoracic outlet syndrome is a relatively common disease. However, costoclavicular syndrome as a condition secondary to nonunion of a displaced fracture of the clavicle is very rare. Most clavicular fractures in adults are united with no or minimal persistent symptoms. Also, symptomatic nonunion of a displaced fracture of the clavicle is rare. A 55-year-old male initially presented with persistent forearm pain after slip-down was initially diagnosed with simple muscle strain. However, he was given a delayed diagnosis of costoclavicular syndrome, caused by compression of the subclavian artery due to trauma in the fibrotic nonunion of the right clavicle without apparent symptoms. We obtained satisfactory results by surgical treatment. Here we report this case with a review of the literature.
  • 1. Davidovic LB, Kostic DM, Jakovljevic NS, Kuzmanovic IL, Simic TM. Vascular thoracic outlet syndrome. World J Surg, 2003;27:545-550.ArticlePDF
  • 2. Garnier D, Chevalier J, Ducasse E, Modine T, Espagne P, Puppinck P. Arterial complications of thoracic outlet syndrome and pseudarthrosis of the clavicle: three patients. J Mal Vasc, 2003;28:79-84.
  • 3. Hahn SB, Park BM, Lim YJ. Thoracic outlet syndrome. J Korean Orthop Assoc, 1990;25:919-926.ArticlePDF
  • 4. Lee YM, Song SW, Choi KB, Rhee SK. The treatment of thoracic outlet syndrome. J Korean Soc Microsurg, 2011;20:102-107.
  • 5. Mulder DS, Greenwood FA, Brooks CE. Posttraumatic thoracic outlet syndrome. J Trauma, 1973;13:706-715.Article
  • 6. Patterson RH. Cervical ribs and the scalenus muscle syndrome. Ann Surg, 1940;111:531-545.Article
  • 7. Roos DB. The thoracic outlet syndrome is underrated. Arch Neurol, 1990;47:327-328.Article
  • 8. Sohn SK, Kim SS, Song CG, Kwak JI. Costoclavicular syndrome: a case report. J Korean Fract Soc, 2007;20:86-89.Article
  • 9. Tindall SC. Youmans JR. Chronic injuries of peripheral nerves by entrapment. In: Neurological surgery, 1996;4th ed. Philadelphia, WB Saunders Co. 2182-2187.
  • 10. Wilbourn AJ. The thoracic outlet syndrome is overdiagnosed. Arch Neurol, 1990;47:328-330.Article
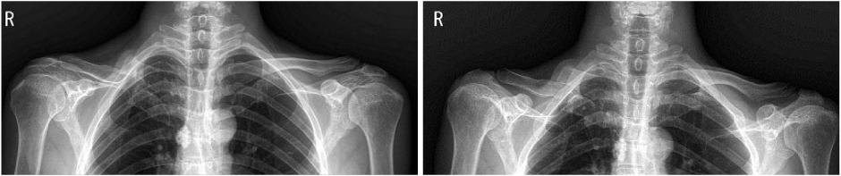
Fig. 1
Preoperative radiograph shows a fibrous nonunion and displacement with shortening of the clavicle shaft.
jkfs-26-60-g001.jpg
Fig. 2
Preoperative 3dimension computed tomography shows displacement and shortening of the clavicle shaft.
jkfs-26-60-g002.jpg
Fig. 3
Preoperative angio computed tomography shows the discontinuous subclavian artery under the fracture site.
jkfs-26-60-g003.jpg
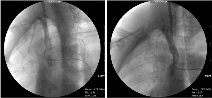
Fig. 4
Preoperative angiogram shows the discontinuous subclavian artery beneath the fracture site with little collateral circulation.
jkfs-26-60-g004.jpg
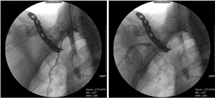
Fig. 5
Postoperative angiogram shows restoration of circulation at the brachial artery, distal to the fracture site.
jkfs-26-60-g005.jpg
Fig. 6
Postoperative radiograph shows the union of the fracture site with no displacement.
jkfs-26-60-g006.jpg

Figure & Data

REFERENCES

    Citations

    Citations to this article as recorded by  

      • Cite
        CITE
        export Copy Download
        Close
        Download Citation
        Download a citation file in RIS format that can be imported by all major citation management software, including EndNote, ProCite, RefWorks, and Reference Manager.

        Format:
        • RIS — For EndNote, ProCite, RefWorks, and most other reference management software
        • BibTeX — For JabRef, BibDesk, and other BibTeX-specific software
        Include:
        • Citation for the content below
        Costoclavicular Syndrome Secondary to Nonunion of a Displaced Fracture of the Clavicle, Misdiagnosed as a Simple Muscle Strain: A Case Report
        J Korean Fract Soc. 2013;26(1):60-64.   Published online January 31, 2013
        Close
      • XML DownloadXML Download
      Figure
      • 0
      • 1
      • 2
      • 3
      • 4
      • 5
      We recommend
      Costoclavicular Syndrome Secondary to Nonunion of a Displaced Fracture of the Clavicle, Misdiagnosed as a Simple Muscle Strain: A Case Report
      Image Image Image Image Image Image
      Fig. 1 Preoperative radiograph shows a fibrous nonunion and displacement with shortening of the clavicle shaft.
      Fig. 2 Preoperative 3dimension computed tomography shows displacement and shortening of the clavicle shaft.
      Fig. 3 Preoperative angio computed tomography shows the discontinuous subclavian artery under the fracture site.
      Fig. 4 Preoperative angiogram shows the discontinuous subclavian artery beneath the fracture site with little collateral circulation.
      Fig. 5 Postoperative angiogram shows restoration of circulation at the brachial artery, distal to the fracture site.
      Fig. 6 Postoperative radiograph shows the union of the fracture site with no displacement.
      Costoclavicular Syndrome Secondary to Nonunion of a Displaced Fracture of the Clavicle, Misdiagnosed as a Simple Muscle Strain: A Case Report

      J Musculoskelet Trauma : Journal of Musculoskeletal Trauma
      Close layer
      TOP